Keď si večer ľahneš spať, pravdepodobne riešiš skôr to, čo ťa čaká zajtra, než to, či sa ráno zobudíš v ohrození života. Väčšina z nás berie spánok ako samozrejmosť a ani len nepremýšľa nad tým, že by sa počas neho mohlo stať niečo nečakané.
Presne tak to mala aj mladá Mexičanka, ktorá si prešla skúsenosťou, akú by nechcel zažiť nikto. Obyčajný piercing v nose sa zmenil na predmet, ktorý jej takmer vzal život. Téme sa venoval aj portál El Tiempo.
Nenápadný problém, ktorý prerástol do nočnej mory
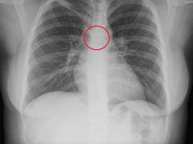
26-ročná Monica Deyanira Cabrera Barajas z Mexika si jedného dňa všimla, že jej chýba malý zlatý nosný krúžok. Spočiatku tomu nepripisovala žiadny význam, keďže mala doma viacero šperkov a myslela si, že ho jednoducho stratila. Situácia sa však začala komplikovať v momente, keď ju začal trápiť pretrvávajúci kašeľ.
Ten najprv pripisovala zmene počasia. Bežné vysvetlenie, ktoré by napadlo asi každému. Lenže kašeľ neustupoval a postupne sa zhoršoval. Až návšteva lekára odhalila šokujúcu pravdu – jej stratený piercing sa nenachádzal nikde inde než v pľúcach. Lekári zistili, že malý kovový krúžok sa dostal do dýchacích ciest pravdepodobne počas spánku, keď ho nevedomky vdýchla. Situácia bola o to vážnejšia, že predmet sa nachádzal len približne pol milimetra od aorty, jednej z najdôležitejších tepien v tele.
Operácia, strach a boj o život
Keď sa Monica dozvedela diagnózu, okamžite ju paralyzoval strach. Sama priznala, že si v tej chvíli myslela, že zomrie. Predstava, že má v pľúcach cudzí predmet tak blízko životne dôležitého orgánu, bola desivá. „Horor, ktorý by som nepriala nikomu,“ opísala mladá Mexičanka náročné chvíle.

Prvá operácia trvala viac ako hodinu, no lekárom sa nepodarilo piercing odstrániť. Bol totiž prichytený k tkanivu pľúc, čo zákrok výrazne skomplikovalo. Až druhý pokus bol úspešný. Najdesivejším momentom však zostáva fakt, že ak by sa krúžok posunul o zlomok milimetra, mohol poškodiť aortu. To by pravdepodobne viedlo k okamžitému kolapsu pľúc alebo fatálnemu krvácaniu.
Noc pred operáciou Monica dokonca napísala list na rozlúčku. Strach zo smrti bol taký silný, že sa pripravovala na najhoršie. Dnes hovorí, že ide o skúsenosť, ktorú by nepriala nikomu.
Internet reaguje: medzi šokom a skepsou
Keď sa jej príbeh dostal na internet, reakcie boli zmiešané. Niektorí ľudia priznali, že ich to poriadne vystrašilo a začali sa na vlastné piercingy pozerať inak. Iní, naopak, tvrdili, že nosia podobné ozdoby celé roky bez jediného problému.
Práve tento kontrast ukazuje, aké zákerné môžu byť podobné situácie. Väčšina ľudí nikdy nič podobné nezažije, no to neznamená, že riziko neexistuje. Monica dnes otvorene priznáva, že s piercingami skončila. Hoci ich mala rada, zážitok z nemocnice jej úplne zmenil pohľad. Jej príbeh nemá ľudí strašiť, ale upozorniť na možné riziká, ktoré si často neuvedomujeme.

Riziká piercingov podľa odborníkov
Aj keď sú piercingy bežnou súčasťou módy, odborníci upozorňujú, že môžu predstavovať zdravotné riziko, najmä ak sa s nimi nezaobchádza správne. Podľa lekárov z oblasti pneumológie a infekčnej medicíny hrozí nielen vdýchnutie malých častí, ale aj infekcie, alergické reakcie či poškodenie tkanív.
Ako uvádza portál El Tiempo s odvolaním sa na zdravotníkov, cudzie teleso v dýchacích cestách môže viesť k vážnym zápalom alebo ohrozeniu života, hlave ak sa nachádza v blízkosti kľúčových orgánov. Odborníci preto odporúčajú zvýšenú opatrnosť, pravidelnú kontrolu šperkov a ich odkladanie napríklad pred spaním.





















